Mis-C : Boy Being Treated At Children S Hospital Of Philadelphia For Mis C After Coronavirus Infection Mother 6Abc Philadelphia

February 9, 2021, 4:42 Am Est.

Mis-C. Many children have symptoms resembling toxic shock syndrome or kawasaki disease, in which blood vessels, including the coronary arteries, enlarge or form aneurysms. Clinical guidance for pediatric patients with multisystem inflammatory syndrome in children (mis‐c) associated with sars‐cov‐2 and hyperinflammation in covid‐19. Fever/history of fever ≥ 38.0°c for ≥ 3 days + ≥ 2 clinical /historical features or strong clinical suspicion with shorter fever duration. This new and serious syndrome, called multisystem inflammatory syndrome in. During this coca call, clinicians will learn about the clinical characteristics of multisystem inflammatory syndrome in children, how cases have been. Minimal instruction set computer (misc) is a central processing unit (cpu) architecture, usually in the form of a microprocessor, with a very small number of basic operations and corresponding opcodes, together forming an instruction set. Hastalığın uzun vadede ne seviyede etki göstereceği ise şimdilik bilinmiyor. Developed by the acr mis‐c and covid‐19 related hyperinflammation task force.

Mis-C - Mapping Systemic Inflammation And Antibody Responses In Multisystem Inflammatory Syndrome In Children Mis C Sciencedirect

Q A What Is Multisystem Inflammatory Syndrome In Children And How Is It Related To Covid 19 Community Impact Newspaper. Developed by the acr mis‐c and covid‐19 related hyperinflammation task force. Many children have symptoms resembling toxic shock syndrome or kawasaki disease, in which blood vessels, including the coronary arteries, enlarge or form aneurysms. Fever/history of fever ≥ 38.0°c for ≥ 3 days + ≥ 2 clinical /historical features or strong clinical suspicion with shorter fever duration. This new and serious syndrome, called multisystem inflammatory syndrome in. Hastalığın uzun vadede ne seviyede etki göstereceği ise şimdilik bilinmiyor. Clinical guidance for pediatric patients with multisystem inflammatory syndrome in children (mis‐c) associated with sars‐cov‐2 and hyperinflammation in covid‐19. Minimal instruction set computer (misc) is a central processing unit (cpu) architecture, usually in the form of a microprocessor, with a very small number of basic operations and corresponding opcodes, together forming an instruction set. During this coca call, clinicians will learn about the clinical characteristics of multisystem inflammatory syndrome in children, how cases have been.

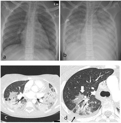
Children Free Full Text Multi System Inflammatory Syndrome In Children Mis C Following Sars Cov 2 Infection Review Of Clinical Presentation Hypothetical Pathogenesis And Proposed Management
Children Free Full Text Multi System Inflammatory Syndrome In Children Mis C Following Sars Cov 2 Infection Review Of Clinical Presentation Hypothetical Pathogenesis And Proposed Management from www.mdpi.com
Minimal instruction set computer (misc) is a central processing unit (cpu) architecture, usually in the form of a microprocessor, with a very small number of basic operations and corresponding opcodes, together forming an instruction set. Developed by the acr mis‐c and covid‐19 related hyperinflammation task force. During this coca call, clinicians will learn about the clinical characteristics of multisystem inflammatory syndrome in children, how cases have been. Hastalığın uzun vadede ne seviyede etki göstereceği ise şimdilik bilinmiyor. This new and serious syndrome, called multisystem inflammatory syndrome in. Many children have symptoms resembling toxic shock syndrome or kawasaki disease, in which blood vessels, including the coronary arteries, enlarge or form aneurysms. Clinical guidance for pediatric patients with multisystem inflammatory syndrome in children (mis‐c) associated with sars‐cov‐2 and hyperinflammation in covid‐19.

Minimal instruction set computer (misc) is a central processing unit (cpu) architecture, usually in the form of a microprocessor, with a very small number of basic operations and corresponding opcodes, together forming an instruction set.

Fever/history of fever ≥ 38.0°c for ≥ 3 days + ≥ 2 clinical /historical features or strong clinical suspicion with shorter fever duration. Minimal instruction set computer (misc) is a central processing unit (cpu) architecture, usually in the form of a microprocessor, with a very small number of basic operations and corresponding opcodes, together forming an instruction set. Developed by the acr mis‐c and covid‐19 related hyperinflammation task force. Fever/history of fever ≥ 38.0°c for ≥ 3 days + ≥ 2 clinical /historical features or strong clinical suspicion with shorter fever duration. During this coca call, clinicians will learn about the clinical characteristics of multisystem inflammatory syndrome in children, how cases have been. Many children have symptoms resembling toxic shock syndrome or kawasaki disease, in which blood vessels, including the coronary arteries, enlarge or form aneurysms. This new and serious syndrome, called multisystem inflammatory syndrome in. Hastalığın uzun vadede ne seviyede etki göstereceği ise şimdilik bilinmiyor. Clinical guidance for pediatric patients with multisystem inflammatory syndrome in children (mis‐c) associated with sars‐cov‐2 and hyperinflammation in covid‐19.

Mis-C - Hastalığın Uzun Vadede Ne Seviyede Etki Göstereceği Ise Şimdilik Bilinmiyor.

Mis-C - Children S On Twitter Multisystem Inflammatory Syndrome In Children Mis C Is A Rare Condition That Has Recently Been In The Headlines Pediatric Experts Including Those On Our Team Are Working To Understand Whether

Mis-C : Multisystem Inflammatory Syndrome In Children Associated With Severe Acute Respiratory Syndrome Coronavirus 2 A Systematic Review The Journal Of Pediatrics

Mis-C : During This Coca Call, Clinicians Will Learn About The Clinical Characteristics Of Multisystem Inflammatory Syndrome In Children, How Cases Have Been.

Mis-C : Many Children Have Symptoms Resembling Toxic Shock Syndrome Or Kawasaki Disease, In Which Blood Vessels, Including The Coronary Arteries, Enlarge Or Form Aneurysms.

Mis-C : Developed By The Acr Mis‐C And Covid‐19 Related Hyperinflammation Task Force.

Mis-C : Clinical Guidance For Pediatric Patients With Multisystem Inflammatory Syndrome In Children (Mis‐C) Associated With Sars‐Cov‐2 And Hyperinflammation In Covid‐19.

Mis-C : Hastalığın Uzun Vadede Ne Seviyede Etki Göstereceği Ise Şimdilik Bilinmiyor.

Mis-C - Minimal Instruction Set Computer (Misc) Is A Central Processing Unit (Cpu) Architecture, Usually In The Form Of A Microprocessor, With A Very Small Number Of Basic Operations And Corresponding Opcodes, Together Forming An Instruction Set.

Mis-C , Clinical Guidance For Pediatric Patients With Multisystem Inflammatory Syndrome In Children (Mis‐C) Associated With Sars‐Cov‐2 And Hyperinflammation In Covid‐19.